Author: Dr Ngian Kite Seng & Dr Tan Chong Tien & Dr James Tan
Date: November 2010 Issue
Original Blog Link: link
Case Study
Mr C is a 40-year-old man who was involved in an accident when he twisted his neck. There was sudden severe neck pain with sharp shooting pain going down his arms, He was treated with medications and physiotherapy for 4 weeks, but the pain did not subside and de developed paresthesia in his for arms.
On examination, he had mild weakness of his biceps and decreased sensation to the C6 dermatome.

Investigations
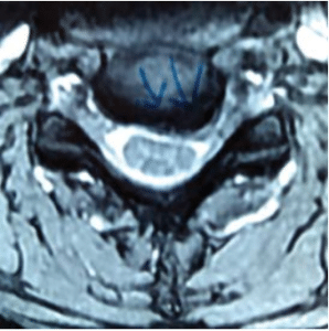
MRI showed severe prolapsed cervical disc indenting the spinal cord and neuroforamen’s of C5/6. There was evidence of spinal cord pressure with T2 changes seen on the sagittal views.
Lateral cervical spine flexional and extension x-rays show good movement of the cervical spine, this is important if we are planning to insert an artificial disc.
Treatment
He needed decompression of the spinal cord and nerve roots. Generally, early decompression results in more complete recovery. There are several options to treat this common disorder:
- Anterior cervical discectomy and fusion
- Anterior cervical discectomy and arthroplasty (artificial disc)
- Posterior decompression
We decided to approach this problem via an anterior cervical disectomy ad replace the damaged discs with artificial ones. The advantage to Mr C is that he would not need to wear a cervical brace post op and no risk of increased adjacent disc disease.
Transverse incision is used in this case. It lends itself to healing very nicely with minimal scarring. Once the damaged and prolapsed disc was removed, the endplates were prepared, and the artificial disc inserted. This implant does not require much drilling and is, therefore, safer.
Results
Mr C was admitted for a total of 3 days. He was discharged with no need for any pain medication. The radicular pain and parathesia had fully resolved.


Summary
Cervical disc replacement is a good option for those who require decompression of the cervical spine and would like to maintain their cervical mobility and shorten their recovery process.
